Medical Articles

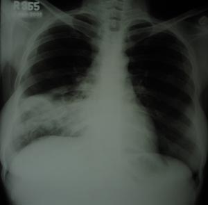
View Right lower zone opacity3

Right lower zone opacity 3

Right  lower zone opacity 3

Right lower zone reveals inhomogenous opacity, with right costophrenic angle sparing, suggestive of consolidation. Silhoutte sign present.