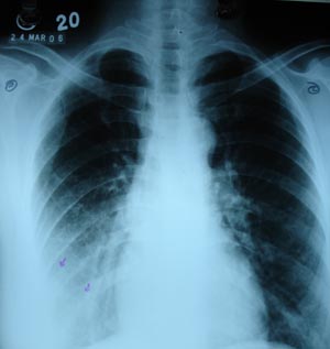
Right lower zone opacity 2

Though the opacity of right lower zone is not uniform, but obliteration of right costophrenic angle & crescent shape opacity is suggestive of pleural effusion. Pneumonic opacity would have left the costophrenic angle untouched.