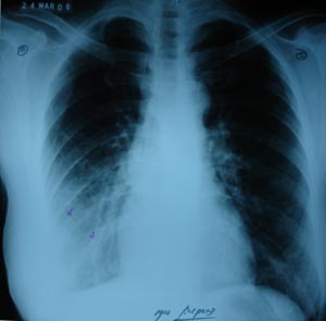
Right lower zone opacity

Multiple fibrotic bands in right lower zone & fine obliteration of right costophrenic angle is suggestive of thickened pleura, as a sequele of resolveing pleural effusion.

© 2023[current_year] Indian Doctors Guide. All Right Reserved.
© 2026 Indian Doctors Guide. All Right Reserved.