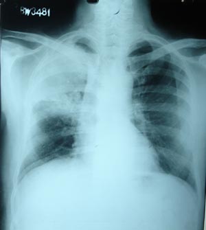
Pulmonary tuberculosis 2

The most obvious radiographic abnormality is the right upper lobe infiltrates with atelectasis and an air bronchogram visible most readily in the CT scan. There is also opacification of the right lower lobe due to infiltrates. This pneumonic form of tuberculosis is more difficult to discriminate from conventional bacterial infectious processes. Tracheal pull on affected side is visible.