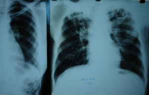
Pulmonary tuberculosis 1

Both upper zones are having extensive fibrosis with Left apex showing a thick walled cavity, suggestive of bilateral koch’s infection.

© 2023[current_year] Indian Doctors Guide. All Right Reserved.
© 2026 Indian Doctors Guide. All Right Reserved.