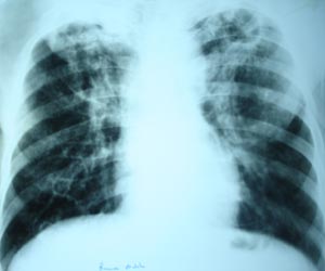
Pulmonary Koch’s with cavitation

A thin walled cavity is visible in left upper zone with bilateral fibronodular Infiltration. Cavity always suggest of serious parenchymal disease.

© 2023[current_year] Indian Doctors Guide. All Right Reserved.
© 2026 Indian Doctors Guide. All Right Reserved.