info@indiandoctorsguide.com
Login
Register
Clinical
Non Clinical
Drugs
Investigations
Webinar Videos
X
Drugs
Investigations
Approach
Calculator
Guidelines
Webinar
Medical Articles
Medical Articles
A
|
B
|
C
|
D
|
E
|
F
|
G
|
H
|
I
|
J
|
K
|
L
|
M
|
N
|
O
|
P
|
Q
|
R
|
S
|
T
|
U
|
V
|
W
|
X
|
Y
|
Z
|
A
B
C
D
E
F
G
H
I
J
K
L
M
N
O
P
Q
R
S
T
U
V
W
X
Y
Z
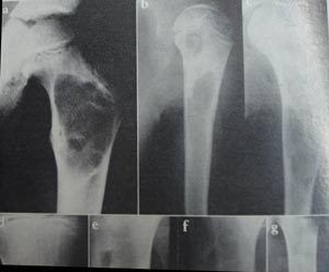
View Osteoclastoma
Osteoclastoma