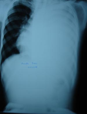
Massive pleural effusion

The radiological appearance of fluid in the pleural cavity are the same regardless of its eteiology whether it is transudate, exudates, pus or blood. The underlying lung pathology may not be seen because the pleural effusion shadow is uniform & homogenous. Whole left lung field shows ground glass opacity, with mediastinal & tracheal shift on opposite side. (patient responded very well to tapping & AKT)