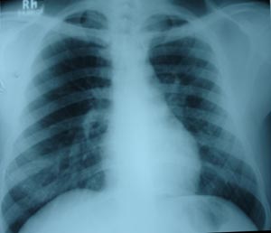
Left mid zone Koch’s infection 7

Right mid zone shows very few fibronodular opacity, suggestive old koch’s infiltration. AKT stopped after stipulated time.

© 2023[current_year] Indian Doctors Guide. All Right Reserved.
© 2026 Indian Doctors Guide. All Right Reserved.