Medical Articles

View LMZ Koch’s 5

Left mid zone Koch’s infection 5

Left mid zone Koch's infection 5

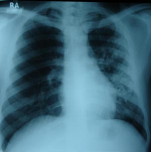
Right mid zone shows multiple fibronodular opacity, suggestive of unilateral koch’s infiltration. Patient on 4 drug AKT regimen. Marked improvement compared to previous x ray.