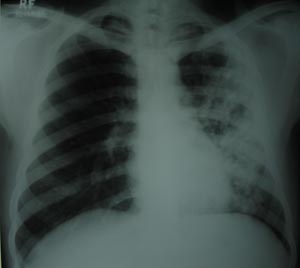
Left mid zone Koch’s infection 4

Right mid zone shows multiple fibronodular opacity, suggestive of unilateral koch’s infiltration. Compared to previous x ray there is a good response in all 3 parameters i.e. clinical, radiological & pathological. Patient is continuing with 3 drug AKT regimen.