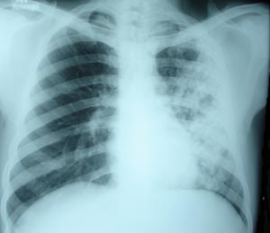
Left mid zone Koch’s infection 3

Right mid zone shows multiple fibronodular opacity, suggestive of unilateral koch’s infiltration. There is some improvement. Patient on 4 drug AKT regimen. Symptoms have disappered.

© 2023[current_year] Indian Doctors Guide. All Right Reserved.
© 2026 Indian Doctors Guide. All Right Reserved.