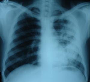
Left mid zone Koch’s infection 2

Right mid zone shows cluster of multiple fibronodular opacity, suggestive of unilateral koch’s infiltration. Patient on 4 drug AKT regimen.

© 2023[current_year] Indian Doctors Guide. All Right Reserved.
© 2026 Indian Doctors Guide. All Right Reserved.