Medical Articles

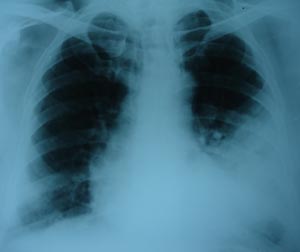
View Left pleural effusion2

Left pleural effusion2

Left pleural effusion2

The radiological appearance of fluid in the pleural cavity are the same regardless of its eteiology whether it is transudate, exudates, pus or blood. The underlying lung pathology may not be seen because the pleural effusion shadow is uniform & homogenous. It lies outside the lung edge & obliterates costophrenic angle. The fluid appears higher laterally than medially.