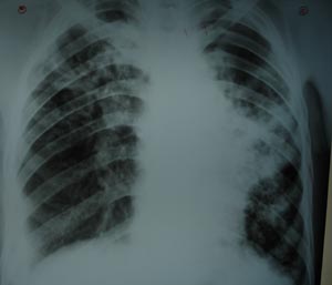
Left mid zone opacity

Left mid zone reveals an opacity, which appears to be arising from the left bronchus, suggestive of ? bronchogenic carcinoma unless & until ruled out. Also there is an invovment of right upper segment & right hilum.

© 2023[current_year] Indian Doctors Guide. All Right Reserved.
© 2026 Indian Doctors Guide. All Right Reserved.