Medical Articles

View Hydropneumothorax

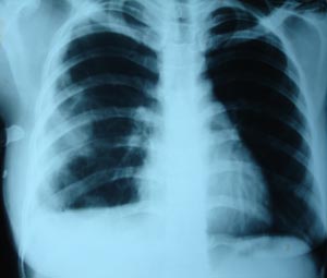
Hydropneumothorax

Hydropneumothorax

The air fluid level is to be marked. Fluid in pleural cavity assumes a different shape. In the presence of pneumothorax. In this case the edge of the lung is difficult to see on the PA view. Causes of pneumothorax includes emphesema, trauma, tuberculosis, pulmonary fibrosis or metastasis.