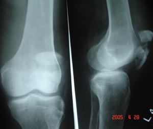
Fracture patella

This is seen in routine AP/Lat. View. But specialized view like lateral view with knee joint flexed, can locate the fracture beautifully.

© 2023[current_year] Indian Doctors Guide. All Right Reserved.
© 2025 Indian Doctors Guide. All Right Reserved.