Medical Articles

View Fracture metatarsal

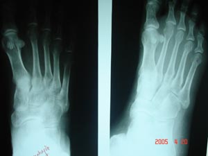
Fracture metatarsal

Fracture metatarsal

Fracture shaft of 5th metatarsal is visualized. With cancellous bone it may not be easy to recognize the fracture, unless it is seen on edges (break in cortex outline). But when any fracture is suspected & not seen in x ray re-examine after 10 days if symptoms still persists, a fracture line often becomes more obvious.