Medical Articles

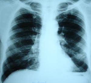
View Flattening of dome of diaphragm

Flattening of dome of diaphragm

Flattening of dome of diaphragm

The thickened pleura casting an uniform shadow masking the real position of diaphragm .Flattening of left dome of diaphragm. This can be seen as a residual effect of pleural pathology.