Medical Articles

View Colles’ fracture 2

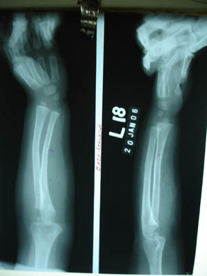
Colles’ fracture 2

Colles' fracture 2