Medical Articles

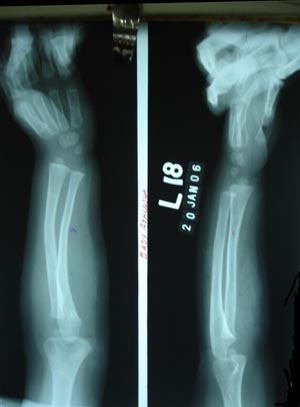
View Colles’ fracture 1

Colles’ fracture 1

Colles' fracture 1

Here it reveals enhancement of curvature (Bending) It shows the bony trabeculae are interrupted across the fracture site. It may show step in the cortex.