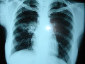
Bronchiectasis

It is an irreversible dilatation of the bronchi. Radiological features includes, Visibly dilated bronchi (tubular or ring shadows), persistent consolidation & loss of volume ( partial collapse ).

© 2023[current_year] Indian Doctors Guide. All Right Reserved.
© 2026 Indian Doctors Guide. All Right Reserved.