Medical Articles

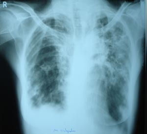
View Bilateral extensive fibrosis

Bilateral extensive fibrosis

Bilateral extensive fibrosis

A typical fibronodular pattern of reactivation with linear densities. Extending to the hila & atelectasis.