Medical Articles

Infection

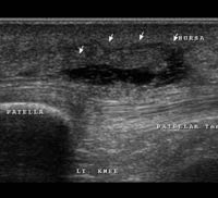
Prepatellar bursitis
Retrocalcaneal bursitis
Lipoma

 

CDH
Ruptured Baker's Cyst
Ganglion